Seu sorriso natural, planejado com exclusividade e realçado com lentes de contato dental

Mais que um tratamento, uma experiência exclusiva: planejamento personalizado e resultadossofisticados em total sintonia com a sua essência.

Atendimento especializado em estética dental

O que te incomoda no seu sorriso?

Pequenas manchas, desgastes ou dentes desalinhados podem tirar sua confiança.
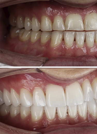
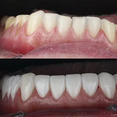
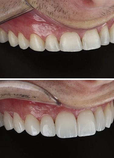
Com as lentes de porcelana, você conquista um sorriso harmônico, natural e do jeito que sempre quis.

O que são as Lentes de contato?

As Lentes ou Facetas são pequenas lâminas de porcelana que são sobrepostas aos dentes, permitindo ajustar o formato do sorriso, tamanho e coloração dos dentes, além de resolver diversos problemas odontológicos como desgastes causados pelo bruxismo.

• Alta durabilidade: média de 15 anos.

• Incrível transformação estética: remoção completa de manchas com o tom de branco que você escolher.

• Aspecto natural: dentes brancos e harmônicos, de acordo com seu tom de pele e formato de rosto.

• Praticidade: poucas consultas para uma transformação do seu sorriso.

Sorrisos que transformaram vidas

Como Funciona o Tratamento​

Transformar o sorriso com lentes de porcelana é um processo planejado com precisão:

01

Avaliação personalizada

Tudo começa com escaneamento 3D e uma consulta detalhada, onde entendemos seus desejos e analisamos sua saúde bucal.

02

Planejamento digital

Com tecnologia de ponta, projetamos digitalmente seu novo sorriso. Assim, você visualiza o resultado antes mesmo de iniciar.

03

Prova do sorriso

Você experimenta uma prévia em resina, para sentir na prática como ficará seu novo sorriso.

04

Aplicação minimamente invasiva

Com técnica precisa e preservando ao máximo o dente natural, as lentes são aplicadas, revelando um sorriso personalizado e natural.

O sorriso é o seu cartão de visitas. E investir nele é investir em imagem, autoestima e oportunidades.

Na Odontaly, não entregamos apenas lentes. Entregamos a versão mais confiante de você.

Perguntas frequentes

As lentes de contato são extremamente finas (geralmente entre 0,2 mm e 0,5 mm), e em muitos casos não é necessário desgastar o dente ou o desgaste é mínimo e restrito ao esmalte. Isso ocorre quando:

• O dente já tem uma boa posição;
• Não há necessidade de grandes correções de cor ou formato;
• O paciente não tem dentes muito projetados.

As lentes de contato dental em porcelana (ou facetas laminadas) são conhecidas por sua alta durabilidade, tanto estética quanto funcional. Tem uma duração de 20 anos ou mais.

O investimento no tratamento de transformação do sorriso é personalizado e depende das necessidades individuais de cada paciente, sendo apresentado após uma avaliação completa.

A escolha da cor é totalmente personalizada e leva em consideração fatores como tom de pele, cor dos dentes naturais, idade do paciente e o resultado estético desejado. Durante o planejamento, são utilizadas escalas de cor profissionais e, em alguns casos, testes em boca (mockups) para garantir que o novo sorriso fique harmônico, natural e alinhado às expectativas do paciente. 

Nosso objetivo é entregar um sorriso bonito, elegante e que combine com você.

A principal diferença está na espessura da lâmina de porcelana. As lentes de contato variam de 0,3 a 0,6 mm, enquanto as facetas podem ter até 1 mm de espessura. A escolha depende das necessidades individuais de cada dente em termos de forma e cor desejadas.

Indicadas para quem busca um sorriso mais harmônico, corrigindo cor, formato, tamanho ou espaços entre os dentes. Também podem fazer parte de uma reabilitação oral estética, devolvendo função e beleza a sorrisos desgastados ou envelhecidos.

Sim. As lentes são feitas sob medida, considerando formato, cor, tamanho e detalhes que valorizam o rosto de cada paciente. O planejamento é feito em conjunto para alcançar um resultado personalizado e natural, respeitando a harmonia do sorriso e as características individuais

A decisão de tratar um, um conjunto ou todos os dentes depende exclusivamente do caso individual e das metas estéticas. Cada situação é única.

Na maioria dos casos, não é necessário utilizar anestesia, uma vez que o desgaste é controlado e planejado para minimizar o desconforto.

Sim, é possível realizar o tratamento com lentes de contato para proteger e reparar o desgaste existente. No entanto, pode ser necessário algum tratamento prévio e a adoção de cuidados específicos.

Atendimento com segurança, conforto e sigilo total

Rua Marechal Borman, 438D
Centro – Chapecó – SC
CEP: 89801-050

Horário de Atendimento
Segunda a sexta: 08h às 18h
Sábado: 08h às 12h

Política de Privacidade | Cookies

Desenvolvido por Assessoria Tron